Traumatólogo en Marbella: innovación en cirugía ortopédica

Tabla de contenido
La traumatología ha evolucionado de forma significativa en los últimos años gracias a los avances tecnológicos. Hoy en día, un traumatólogo en Marbella puede ofrecer soluciones mucho más precisas y personalizadas para cada paciente.
En la clínica alemana IMED German Clinic Marbella, el Dr. Ignatios Chatziandreou destaca por aplicar técnicas innovadoras en cirugía ortopédica, incluyendo el uso de prótesis personalizadas en 3D.
Dr. Ignatios Chatziandreou: referencia en traumatología
El Dr. Ignatios Chatziandreou es especialista en Traumatología y Cirugía Ortopédica, con amplia experiencia en intervenciones complejas de rodilla y cadera.
Su enfoque combina precisión quirúrgica, tecnología avanzada y un tratamiento completamente adaptado a las necesidades de cada paciente, lo que le posiciona como un referente como traumatólogo en Marbella.

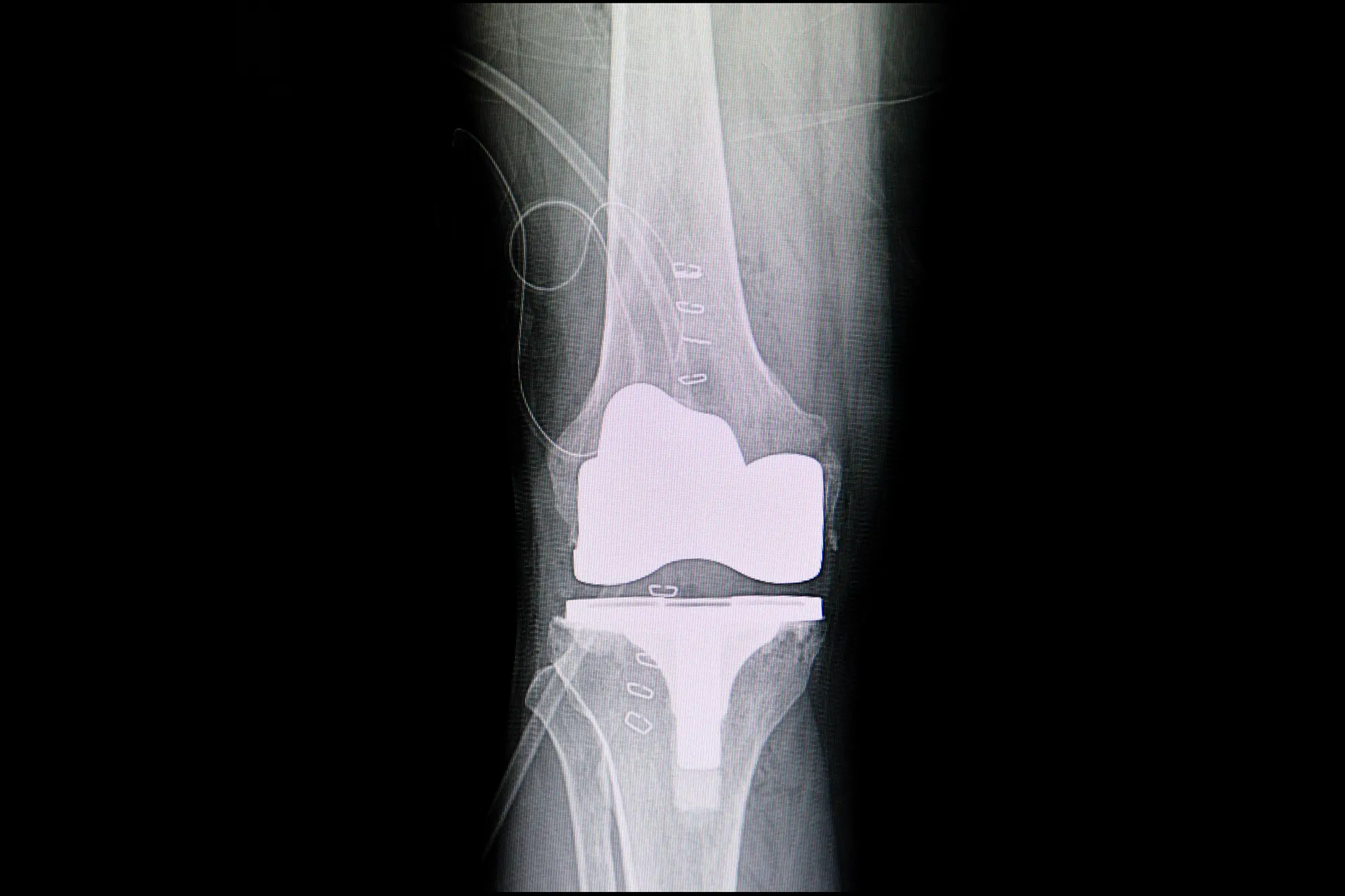
¿Qué son las prótesis en 3D?
Las prótesis en 3D representan una revolución en la cirugía ortopédica. A diferencia de las prótesis tradicionales, estas se diseñan de forma personalizada a partir de la anatomía del paciente mediante tecnología de imagen y modelado digital.
Esto permite al traumatólogo en Marbella:
- Mayor precisión en la intervención
- Mejor adaptación a la anatomía del paciente
- Reducción del tiempo quirúrgico
- Recuperaciones más rápidas
- Mayor durabilidad de la prótesis
Ventajas para el paciente
El uso de prótesis en 3D mejora significativamente los resultados de las cirugías articulares. Los pacientes experimentan una mejor movilidad, menos molestias postoperatorias y una recuperación más eficiente.
Además, al tratarse de una solución personalizada, se minimizan los riesgos y se optimiza el resultado funcional a largo plazo.
Tecnología avanzada en la clínica alemana IMED
La clínica alemana IMED German Clinic Marbella apuesta por la innovación médica y la incorporación de tecnologías de última generación.
Gracias a la experiencia del Dr. Ignatios Chatziandreou y al uso de prótesis en 3D, los pacientes cuentan con un tratamiento de alta precisión y calidad dentro del servicio de traumatólogo en Marbella.
Conclusión
La combinación de experiencia médica y tecnología avanzada marca el futuro de la traumatología. Contar con un traumatólogo en Marbella que utilice prótesis en 3D supone una ventaja clave para lograr mejores resultados y una recuperación más rápida.
En la clínica alemana IMED German Clinic Marbella, los pacientes encuentran soluciones innovadoras para recuperar su movilidad y calidad de vida.
